
Νίκος Ορφανός: Τι είναι το κρανιοφαρυγγίωμα που αντιμετώπισε – Ποιοι επηρεάζονται, οι κυριότερες θεραπείες
Ο Νίκος Ορφανός συγκίνησε κοινοποιώντας το σοβαρό πρόβλημα υγείας που αντιμετώπισε και τον ανάγκασε να μεταβεί στη Γερμανία για το χειρουργείο.
Ειδικότερα, δίδαξε μαθήματα ανθρωπιάς από τον τρόπο που κλήθηκε να αντιμετωπίσει το κρανιοφαρυγγίωμα, το οποίο επηρεάζει την όραση και το ενδοκρινικό σύστημα, που είναι υπεύθυνο για την ορμονική λειτουργία του σώματός.
Με αφορμή αυτό το περιστατικό, το Athensmagazine.gr συγκεντρώνει ορισμένες πληροφορίες που πρέπει να γνωρίζουμε για το κρανιοφαρυγγίωμα.
Τι είναι το κρανιοφαρυγγίωμα;
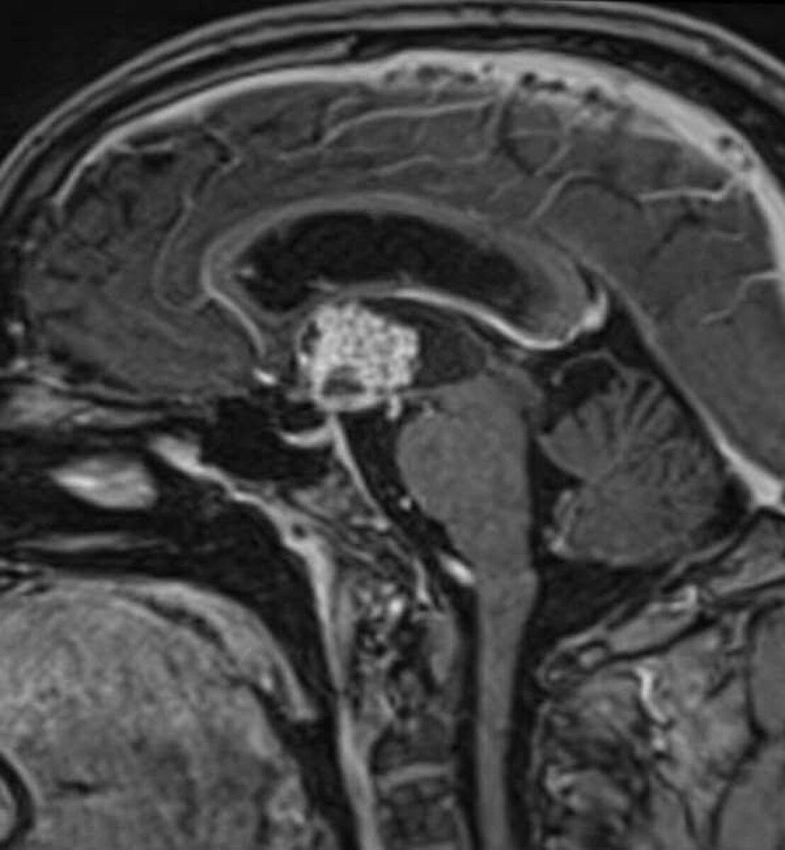
Πρόκειται περί όγκου που αναπτύσσεται στην περιοχή της υπόφυσης, της υπερεφιππιακής δεξαμενής (χώρος γεμάτος με
εγκεφαλονωτιαίο υγρό στον οποίο βρίσκονται το οπτικό χίασμα, ο μίσχος της υπόφυσης καθώς και αγγεία του εγκεφάλου), του υποθαλάμου και της 3ης κοιλίας του εγκεφάλου. Παρουσιάζεται συνήθως σε παιδιά ή νέους ενήλικες και αντιπροσωπεύει περίπου το 10% του συνόλου των όγκων του εγκεφάλου σε νέους. Μπορεί ωστόσο να διαγνωσθεί σε οποιαδήποτε ηλικία.
Γιατί ονομάζεται κρανιοφαρυγγίωμα;
Η υπόφυση σε ένα έμβρυο αναπτύσσεται από έναν ιστό που ονομάζεται θύλακος Rathke, που ξεκινά στην περιοχή του λαιμού (φάρυγγα) και κινείται προς τα πάνω προς τον εγκέφαλο. Τα κρανιοφαρυγγιώματα αναπτύσσονται από υπολείμματα του θύλακος Rathke. Αυτό εξηγεί το όνομά τους (κρανίο, φάρυγγας).
Ποιά είναι η ιδιαιτερότητα του κρανιοφαρυγγιώματος;
Το κρανιοφαρυγγίωμα είναι καλοήθης όγκος. Αναπτύσσεται όμως σε μία ιδιαίτερα ευαίσθητη περιοχή του εγκεφάλου και σχεδόν πάντα περιβρογχίζει τις ανατομικές δομές ή/και διηθεί τον εγκεφαλικό ιστό. Αναπτύσσει αποτιτανώσεις (επασβεστώσεις) καθώς και ιδιαίτερα ευμεγέθεις κύστεις, που καθιστούν πολλές φορές τη θεραπεία ιδιαίτερα δύσκολη.
Καθώς αναπτύσσεται ιδιαίτερα αργά, τα συμπτώματα που οδηγούν στη διάγνωσή του προκαλούνται αργά, όταν πια ο όγκος έχει ήδη λάβει μεγάλες διαστάσεις σε μια από τις πιο ευαίσθητες και πιο δύσκολα χειρουργικά προσπελάσιμες περιοχές του εγκεφάλου. Ποια είναι τα πιο συχνά συμπτώματα;
Τα συμπτώματα
1. Παρεκτόπιση και πίεση επί της υπόφυσης ή του μίσχου της υπόφυσης, η οποία προκαλεί ενδοκρινολογικές διαταραχές με ένα ή περισσότερα από τα ακόλουθα συμπτώματα:
Απώλεια της ανάπτυξης σε παιδιά
Διαταραχή εμμήνου ρήσεως
Καθυστερημένη εφηβεία
Μείωση ή απώλεια της σεξουαλικής διάθεσης
Κόπωση, αδυναμία, υπνηλία, απώλεια μυϊκής μάζας
Υπόταση
Ξηροδερμία
Αυξημένη ευαισθησία στο κρύο και η θερμότητα
Δυσκοιλιότητα
Ανεξήγητη αύξηση βάρους
Αύξηση των επιπέδων προλακτίνης, η οποία μπορεί να προκαλέσει εκροή υγρού από τις θηλές (σε άνδρες και γυναίκες).
2. Παρεκτόπιση και πίεση των οπτικών οδών (οπτικού νεύρου ή οπτικού χιάσματος), η οπία προκαλεί έκπτωση της οπτικής οξύτητας και διαταραχές οπτικών πεδίων.
3. Παρεκτόπιση, πίεση ή διήθηση του υποθαλάμου, περιοχή στη βάση του εγκεφάλου γύρω από την 3η κοιλία, η οποίες οδηγούν στις λεγόμενες υποθαλαμικές διαταραχές, όπως αύξηση του σωματικού βάρους, υπνηλία, προβλήματα με τη ρύθμιση της θερμοκρασίας, αλλαγές της διάθεσης, κατάθλιψης και απώλεια μεγάλων ποσοτήτων ούρων που οδηγεί σε προβλήματα με το ισοζύγιο των υγρών και των ηλεκτρολυτών (άποιος διαβήτης).
4. Απόφραξη της 3ης κοιλίας του εγκεφάλου με συνέπεια την αύξηση της ποσότητας του εγκεφαλωτιαίου υγρού και της ενδοκράνιας πίεσης με συνέπεια κεφαλαλγία, σύγχυση, ναυτία και έμετο.
Η θεραπεία
Η αντιμετώπιση στο Κρανιοφαρυγγίωμα περιλαμβάνει την χειρουργική επέμβαση, την ακτινοθεραπεία και την χημειοθεραπεία. Μερικές φορές, οι θεραπείες αυτές εφαρμόζονται στον ίδιο ασθενή σε συνδυασμό.
Το θεραπευτικό πλάνο που θα ακολουθηθεί, εξαρτάται από διάφορους παράγοντες. Εξαρτάται από τον τύπο, την θέση, την μορφολογία και το μέγεθος του όγκου. Επίσης, εξαρτάται από την ηλικία, την γενική κατάσταση της υγείας και από την προτίμηση του ασθενούς.
Η απόφαση για την θεραπεία λαμβάνεται ξεχωριστά σε κάθε ασθενή. Ο ασθενής ενημερώνεται για την αποτελεσματικότητα, αλλά και για τους κινδύνους, τις παρενέργειες και τις επιπλοκές της κάθε θεραπείας.
Η Χειρουργική Επέμβαση για το Κρανιοφαρυγγίωμα
Το Κρανιοφαρυγγίωμα συνήθως αντιμετωπίζεται με χειρουργείο. Αποτελεί την πρώτη επιλογή θεραπείας και το είδος της επέμβασης εξαρτάται από τη θέση και το μέγεθος του όγκου. Προτείνεται η Kρανιοτομία και η Διαρρινική Διασφηνοειδική προσπέλαση με χειρουργικό μικροσκόπιο ή με ενδοσκόπιο.
Ο σκοπός της χειρουργικής επέμβασης είναι η ολική αφαίρεση του όγκου. Δεν είναι πάντοτε δυνατή η ολική αφαίρεση γιατί ο όγκος βρίσκεται κοντά σε ευαίσθητες δομές του εγκεφάλου. Τότε, ο χειρουργός αφαιρεί το μεγαλύτερο μέρος που επιτρέπεται από την μάζα του όγκου.
Η χειρουργική επέμβαση στο Κρανιοφαρυγγίωμα έχει αρκετά υψηλό ποσοστό υποτροπών (περίπου 20%). Σε αυτές τις περιπτώσεις μπορούν να εφαρμοστούν άλλες θεραπείες μετά την επέμβαση.
Η Kρανιοτομία
Η συνήθης Χειρουργική Επέμβαση είναι η Kρανιοτομία. Εφαρμόζεται όταν ο όγκος επεκτείνεται σημαντικά πέρα από την υπόφυση, στην υπερεφιππιακή δεξαμενή. Γίνεται με τεχνικές μικροχειρουργικής, με την χρήση του χειρουργικού μικροσκοπίου και συστήματος νευροπλοήγησης.
Κρανιοφαρυγγίωμα
Συχνά οι επεμβάσεις αυτές είναι πολύωρες και μερικές φορές απαιτούνται ιδιαίτερα εξειδικευμένες προσπελάσεις. Τέτοιες είναι οι προσπελάσεις της βάσεως του κρανίου. Επίσης, εφαρμόζονται οι ελάχιστα επεμβατικές τεχνικές.
Η Διαρρινική Διασφηνοειδική προσπέλαση
Πολύ συχνή χειρουργική επέμβαση είναι επίσης η Διαρρινική Διασφηνοειδική προσπέλαση με χειρουργικό μικροσκόπιο ή με την χρήση του ενδοσκοπίου (ενδοσκοπική τεχνική). Εφαρμόζεται όταν ο όγκος περιορίζεται στην περιοχή της υπόφυσης και του τουρκικού εφιππίου, χωρίς σημαντική υπερεφιππιακή επέκταση.
Πηγή